Real results
from real patients
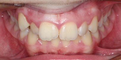
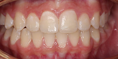
Orthodontic treatment can do more than just straighten teeth - it can transform confidence, comfort and long-term oral health. Here at Knox City Orthodontics, we’ve helped thousands of patients achieve their goals with personalised care and expert support.
Our results speak for themselves. Take a look through our before-and-after gallery to see the difference a great smile can make.
Book a free consultation
SMILE GALLERY
Transforming smiles, see the before and after
Explore our gallery below to see the difference orthodontic care can make.
Ready to start your smile transformation?
Book a free consultation with Knox City Orthodontics and find out how we can help you achieve the results you’re looking for - with a treatment plan that’s tailored to you.
Book a free consultation